Salta al contenuto principale

Ospedale Mazzini. I suoi colleghi gli salvano la vita da un ictus acuto....

di Giancarlo Falconi
2 minuti

Da medico a paziente, da uomo che salva vite a uomo a cui la vita viene salvata. E’ quanto accaduto a un uomo di 67 anni, medico in pensione che qualche giorno fa è arrivato al Pronto soccorso del Mazzini con un ictus cerebrale acuto.

Subito sottoposto alle indagini radiologiche necessarie, è stata  riscontrata alla Angiotac una trombosi iperacuta della carotide interna destra estesa al sifone e al circolo intracranico. In parole più semplici, un probabile ictus cerebrale. Solitamente l’occlusione completa della carotide in acuto può condurre a gravi deficit fisici con perdita di coscienza, emiplegia ai quattro arti, perdita di autonomia e più o meno completa necessità a vita di supporti riabilitativi e neurocognitivi. Nei casi più gravi l’occlusione acuta della carotide interna può anche causare ischemia dei centri autonomici con arresto cardio circolatorio repentino che in poco tempo può condurre anche alla morte del paziente.

 Grazie alla elevata efficienza del percorso stroke consolidato da oltre 20 anni di esperienza nel settore e alla professionalità di tutti gli addetti ai lavori, medici e paramedici del Pronto soccorso, della Radiologia, della Rianimazione. il paziente è stato subito portato in sala angiografica dove gli specialisti dell’unità operativa di Radiologia interventistica ha rapidamente condotto le necessarie manovre di disostruzione della carotide interna con sistema di trombo-aspirazione e recupero del trombo effettuando soltanto un accesso arterioso femorale. Sono stati utilizzati specifici cateteri dedicati per lo studio dei vasi al collo e del circolo intracranico. Sono stati utilizzati specifici cateteri per lo studio dei vasi al collo e del circolo cerebrale. L'arteriografia carotidea ha confermato la chiusura del vaso (Figura 1) estesa a tutto il circolo cerebrale. Dopo l’aspirazione del coagulo si è avuta completa ricanalizzazione della carotide (Figura 2). Per garantire la pervietà del vaso è stato anche rilasciato uno stent (Figura 3). Per il circolo cerebrale è stata effettuata anche una rimozione meccanica del coagulo con completa riapertura dei vasi (Figura 4).  

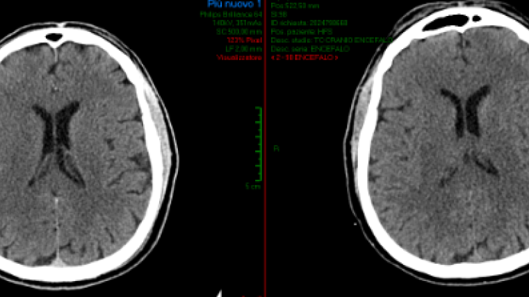
Le Tac di controllo post operatoria e a 24 ore hanno dimostrato subito una evoluzione favorevole del quadro a livello dell’encefalo, confermato anche clinicamente (Figura 5).

Nella settimana successiva il paziente è stato dimesso dal reparto di Neurologia e Stroke unit, senza esiti clinici di rilievo. “Il paziente, che è stato anche un nostro medico, è tornato in famiglia in condizioni più che buone. La sua storia è emblematica del valore della buona sanità pubblica e dell’importanza delle persone che vi lavorano, dedicando la propria esistenza con spirito di sacrificio e abnegazione alla cura degli altri. Questa storia ha ancor più valore perché lui stesso, che quotidianamente si è impegnato per salvare vite, ha  beneficiato dell’alta professionalità dei colleghi e della buona organizzazione della nostra sanità”, dichiara il direttore generale Maurizio Di Giosia.

Commenta

CAPTCHA

Commenti

Complimento ai chirurghi